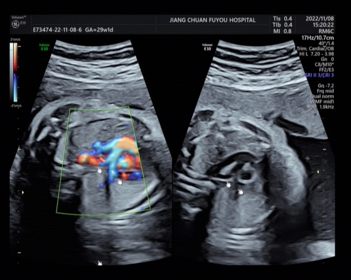
近日,孕妈刘XX到江川区妇幼保健院影像科行胎儿彩超检查时,经过江川区妇幼保健院超声医师耐心细致检查后,诊断为罕见病—“胎儿肺动脉吊带并永存左上腔”。 该孕妇 24岁,身体健康, 否认遗传病史。到江川区妇幼保健院影像科行胎儿超声检查,发现胎儿左肺动脉起源于正常的右肺动脉,并从气管右侧及后方走行进入左肺合并三血管气管切面,肺动脉左侧探及一血管横切面。超声提示如下图: 
随即建议到上级医院行胎儿超声心动图检查。经后期随访,该孕妇到上级医院检查后,其结果与江川区妇幼保健院诊断一致。 永存左上腔和肺动脉吊带属于先天性心血管畸形。永存左上腔,大部分胎儿出生后无临床症状,不需要治疗;肺动脉吊带(PAS) 又名“迷走左肺动脉”,属于血管环的一种。 血管环的发病率占所有先天性心脏病的 0.8%~1.3%, 而肺动脉吊带约仅占血管环畸形的 3%~ 6%,十分罕见。肺动脉吊带患者首次出现症状多为1天至4个月,90%可再生后不久即可出现明显呼吸道症状,最常表现为气促、喘鸣及咳嗽,喂奶困难和发育延缓,严重者还有呼吸困难、发绀、窒息和呼吸暂停等,可引起意识丧失、抽搐甚至死亡。呼吸道感染或喂奶引起的反流吸入可使病情恶化,如无有效治疗病死率可达 90%。 
江川区妇幼保健院影像科,配有美国GE公司生产的GE Voluson E10产前超声检测仪,在全球四维彩色多普勒超声诊断仪中属最高端设备,并率先在全区开展了胎儿NT检查,胎儿系统 B 超检查。与此同时,为不断满足辖区妇女儿童就医需求,江川区妇幼保健院超声医学科不断探索创新、更新设备、引进专业技术人才、开展新技术、拓展新业务,为临床提供精准的医学影像支持,得到了群众的广泛认可。
|